MRVision
MRVision社ホームページ http://www.mrvision.com/html/overview.shtml
MRVision はスタンフォード大学で開発された、MRI(Magnetic Resonance Imagiong)のためのソフトウェアです。 最新のメディカルイメージング技術を実現するための高水準な解析機能・表示機能を合わせ持っており、特に画像演算機能に優れたプログラムです。 市販のMRI装置データ以外にも、様々な画像データを読み込むことができます。
また、CTのデータや、医療以外のデータの取り扱いも可能です。
MRVision は、X-Window環境で動作するように設計されており、ネットワークでの利用も可能です。GE, Brukerを初めとして数々の機種フォーマットに対応しており、画像の出力もプリンタに対してだけでなくPICTやTIFFフォーマットといったイメー ジファイルとして保存することも可能です。
また、Projection Reconstructionや、MIP(Maximum Intensity Projection), イメージ合成, ROI(Region of Interest)測定など、イージングデータ解析に必要とされている数々の機能を有しています。
MRを利用した脳機能画像データへの適用
- Functional MRI
- 拡散係数画像/潅流画像マッピング
- T2/T1計算画像マッピング
特徴
- マウスの操作とプルダウンメニューによる、分かりやすいインターフェース
- 一度に最高2048のイメージの読み込みと、最大128の画像が同時表示が可能
- マウス操作で、簡単に画像拡大・縮小・移動が可能
- リアルタイムで、簡単に画像の明るさ、コンストラストの調整が可能
- 一連の画像ファイルをシネモードを使って連続表示することが可能
- マッキントッシュやPC、PostScriptプリンターへの出力
- 関心領域(ROI)機能
- 画像の合成・オーバーレイ
- 多数の画像間計算関数
- 充実した画像処理演算機能
- マクロファイルによる自動処理 他
統計処理の適用

画像について
- 右上 : 統計処理画像の結果(Sine関数を用いて)
- 右下 : オリジナルEPI画像とt-test画像を重ね合わせた表示
- 左上 : オリジナル画像
- 左下 : t-test画像
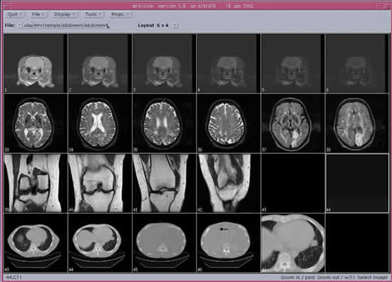
異なる画像ファイルの同時表示

画像について
- 1段目 :ラットの脳のコロナルセクション(スモールボア MRIシステム)
- 2段目 :脳梗塞患者の脳のT2強調画像/拡散係数画像(医療用MRI)
- 3段目 :ひざのT1強調画像(医療用MRI)
- 4段目 :心臓と肝臓(高速医療用CT)
動作環境
- RedHat9.0+(RedHat Enterprise WS 4/5/6,CentOS 4/5/6確認済)
※ バージョン1.6.6よりIRIX, Solarisは対応しておりません。
最新バージョン
バージョン1.6.91 リリースノート

